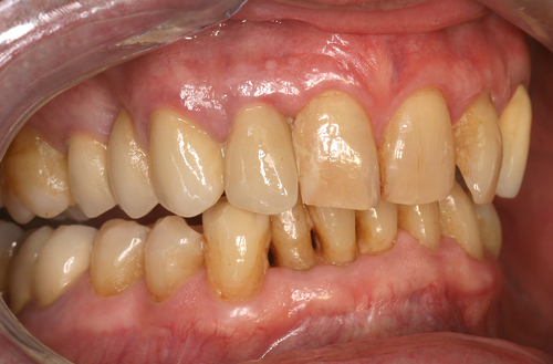
Si au cours d’une visite annuelle, la gencive est légèrement sensible et décollée, (fig.33), votre chirurgien dentiste peut d’abord utiliser l’action décontaminante d’un laser pénétrant puis l’action biostimulante complétera la remise en état général (fig.34) ce qui permettra de retrouver immédiatement un contexte gingivo dentaire favorable à une cicatrisation rapide des tissus gingivaux. (fig.35) 

 
Fig. 33 

 
Fig. 34 
 

L’état initial signale un début de parodontite ... Le rayonnement laser stoppera la maladie 

 
Fig. 35 

Le patient retrouve une gencive saine qui lui permettra de reprendre son hygiène bucco dentaire

 

 

 

CONCLUSIONS

Les lasers font aujourd’hui partie de l’équipement thérapeutique d’un cabinet dentaire moderne. 
Ils ne sont en aucun cas des « baguettes magiques » qu’il suffit d’agiter pour obtenir des résultats miraculeux ! 
Ils sont simplement un outil médical rigoureux qui nécessite la mise en œuvre  et le respect de toutes les techniques modernes utilisées en chirurgie dentaire complétées par une connaissance spécifique de ce rayonnement invisible qui permet de l’appliquer avec beaucoup de satisfaction, particulièrement pour conserver des dents saines ou guérir toutes les infections de la bouche et des dents si fréquentes dans la cavité bucco dentaire. 
 

source: 
Dr Gérard Rey

Retour aux soins par laser